How To Handle A Broken Dental Crown: A Comprehensive Guide

Dealing with a broken dental crown can be stressful, but understanding what steps to take can make a big difference. A dental crown protects a damaged tooth, but accidents and wear can sometimes cause it to break. If you find yourself in this situation, knowing how to handle it properly is crucial for maintaining your oral health. In this comprehensive guide, we’ll walk you through the essential steps to manage a broken crown, from immediate actions to professional solutions. Whether you’re dealing with a small crack or a completely dislodged crown, this guide will help you understand your options and ensure you get the right care.
Let’s dive into the practical steps to take and the importance of seeking professional help from a dentist specializing in dental crowns.
Immediate Steps to Take
Stay Calm and Assess the Damage
If your dental crown breaks, stay calm. First, assess the situation:
- Check for Fragments: Look for any broken pieces of the crown.
- Inspect Your Tooth: Examine the underlying tooth. Is it sensitive or damaged?
Clean the Area
Gently rinse your mouth with warm water to remove any debris. Avoid using hot or cold water, as extreme temperatures can increase sensitivity.
Avoid Chewing on the Affected Side
Until you see your dentist, avoid chewing on the side of the broken crown. This reduces the risk of further damage to the tooth and alleviates any additional stress on the broken crown.
Temporary Fixes
If the crown is still partially attached, avoid trying to reattach it yourself. You can use dental adhesive or over-the-counter temporary crown kits as a short-term solution, but this is not a permanent fix.
Understanding the Causes of a Broken Crown
Wear and Tear
Dental crowns, like all dental restorations, can wear down over time. Chewing hard foods or grinding your teeth can lead to fractures.
Accidental Trauma
Injuries to the mouth, such as from a fall or an accident, can cause crowns to break. Always protect your mouth during high-risk activities.
Poor Fit
A crown that doesn’t fit properly can be prone to breakage. Regular check-ups help ensure that your crown fits snugly.
Material Quality
The durability of a crown depends on the material used. Porcelain crowns may chip more easily than metal or zirconia crowns.
Professional Solutions for Broken Crowns
Dental Re-Cementation
If your crown is still in one piece but has come loose, your dentist may re-cement it. This process involves cleaning the tooth and crown, then applying a dental adhesive to secure it in place.
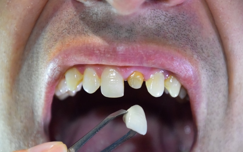
Replacement Crown
For crowns that are significantly damaged or missing, a new crown might be necessary. Your dentist will take impressions of your tooth to create a new, custom-fit crown.
Repairs for Minor Chips
If the crown has only minor chips, your dentist might be able to repair it rather than replace it. This depends on the extent of the damage.
When to See a Dentist?
Immediate Attention
Seek professional help as soon as you notice a broken crown. Delaying treatment can lead to further damage or complications.
Ongoing Pain or Sensitivity
If you experience pain or sensitivity after a crown breaks, it’s essential to visit a dentist promptly. This could indicate issues with the underlying tooth.
Visible Damage
Any visible damage to the crown or tooth structure should be evaluated by a dentist to prevent further complications.
Preventing Future Breakage
Regular Check-Ups
Schedule regular dental check-ups to monitor the condition of your crowns and overall oral health. Early detection of issues can prevent breakage.
Avoid Hard Foods
Minimize consumption of hard foods and avoid using your teeth as tools. This reduces the risk of damaging your crowns.
Maintain Good Oral Hygiene
Brush and floss daily to keep your crowns and underlying teeth in good condition. Good oral hygiene helps prolong the life of dental restorations.
Understanding the Cost of Repair
Costs Involved
The cost of repairing or replacing a broken crown varies depending on factors such as the material of the crown, the extent of damage, and the type of repair needed.
Insurance Coverage
Check with your dental insurance provider to understand what costs are covered. Many plans offer partial coverage for crown repairs or replacements.
Payment Options
Discuss payment options with your dentist. Many practices offer financing plans to help manage the costs associated with dental crown repairs or replacements.
Choosing the Right Dentist
Experience with Crowns
Select a dentist experienced in dealing with crowns and dental restorations. Their expertise ensures that you receive high-quality care and effective solutions.
Consultation
Schedule a consultation to discuss your options for repairing or replacing a broken crown. This allows you to understand the recommended treatment and associated costs.
Specialized Care
If you need advanced treatments or specialized care, seek a dentist known for their expertise in handling complex cases, such as a dentist specializing in dental crown in Orange.
Dealing with a broken dental crown requires prompt action and professional care. Understanding the causes, immediate steps to take, and available treatments helps you manage the situation effectively. Always consult your dentist for the best solutions and follow preventive measures to avoid future breakage. Remember, regular check-ups and good oral hygiene are key to maintaining the health and longevity of your dental crowns. If you have a dental crown in Orange, seek expert advice and care for the best outcomes.


