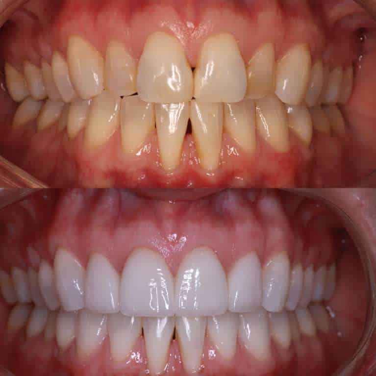
Porcelain Veneers Are Strong And Durable
The porcelain used in veneers is strong and mimics the durability of your teeth’s natural porcelain. It is because of this that much of today’s dentistry provides greater longevity than the dentistry of the past. Much like your natural teeth, porcelain veneers are strong, but not indestructible.
Here are a few things that put veneers at risk of being lost or damaged:
Poor oral hygiene – Not taking care of your teeth means that you are not taking care of your veneers. Decay can develop around the margins of the restoration and even creep underneath without diligent brushing and flossing habits. Gum disease also puts teeth and dentistry at risk.
Biting into something you shouldn’t – Using your teeth as tools to open packages or bottles is a sure way to end up in trouble; it’s just a matter of time. Use your teeth only for chewing and you can usually stay out of trouble.
Bruxism – Grinding your teeth is bad for your smile and your health. It is also terrible for dental restorations, such as veneers. Dr. Gomez can examine your teeth and mouth to determine if you have a teeth grinding habit. This usually occurs during sleep, so you may not realize it.
Protecting Your Veneers
If you do grind your teeth, a nightguard can protect your veneers.
With the proper care, veneers do have the potential to last a lifetime. Even if your veneer becomes damaged or worn, we can replace it.
For a gentle and experienced cosmetic dentist in Southeast , give us a call! We look forward to helping you keep your smile healthy.


