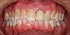
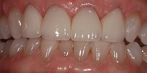
Cosmetic Dentistry

Before

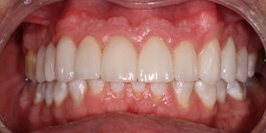
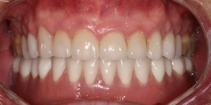
After
Cosmetic Makeover
Do you hold your hand over your mouth when you talk because you are embarrassed of your smile? Through the combination of teeth whitening, dental bonding, and porcelain veneers, this Mid County patient now talks and smiles with confidence!

Before

After

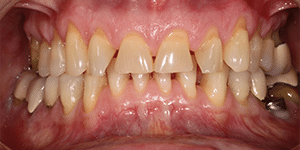
Before

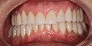
After
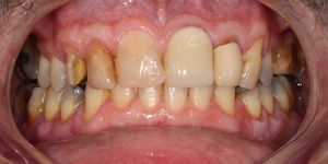
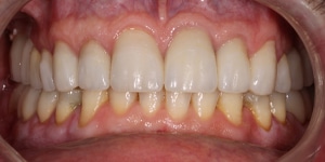
Smile Makeover
Are you ashamed to smile because of an old crown, stained, or crooked teeth? This patient is not ashamed to smile any longer! What a transformation!
Dental Crowns and Bridges

Before

After
Dental crown
This Golden Triangle patient was not happy with this 20-year-old crown on his front tooth. With the use of an all-porcelain crown, a huge difference was made in his smile. Do you have any crowns with black lines at the gum line?

Before

After
Cosmetic crowns
This Nederland patient was tired of her old large yellow bonded fillings on her two front teeth. All-porcelain crowns solved the problem. No more yellow front teeth!
Dental Implants

Before

After
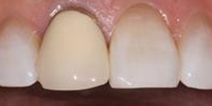
Dental Implant
Have you lost a tooth due to a cavity, infection, or trauma, such as a car wreck? This Nederland patient had her front tooth replaced with a dental implant. Implants are extremely successful and very long-lasting!

Before

After
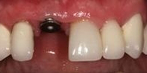
Dental Implant
This Nederland patient was tired of not being able to chew on this side of her mouth. With dental implants, she is now able to enjoy eating her meals. Implants are extremely long-lasting, and can be used exactly like your natural teeth!
All on X Implants

Before

After
All on X Implants
The patient had severely stained teeth with visible marks. With All-on-X implants, the patient now enjoys a bright, flawless smile. The fully restored teeth not only look natural but also provide enhanced functionality.
Dental Veneers

Before

After
Porcelain Veneers
Are your teeth stained brown or gray? Through our professional deep bleach system, and porcelain veneers, this patient now has the smile she always desired.

Before

After
Cosmetic Veneer
This patients far left tooth in the picture had been re-bonded several times, yet continued to fracture and stain. Look how natural her tooth now looks with a cosmetic veneer. No more stains or breaking!

Before

After
Veneers
This patient was tired of having a "gap" between his two front teeth. He did not want to go through orthodontics, rather he chose veneers. Viola! Instant orthodontics and a gorgeous smile!

Before

After
Veneers
This Golden Triangle patient was tired of the size, shape, and stains on his front teeth. With porcelain veneers, his smile was transformed into what he always wanted!
Dentures and Partials

Before

After
Dentures
Are your dentures old, yellow, worn down, and loose? That's exactly how this patient felt about her old dentures. Notice how white, beautiful, and natural her smile now looks.

Before

After
Full Dentures
Are your dentures 20 years old? Do they fall out when you eat and talk? Can you barely see them when you smile? Do you have significantly more wrinkles around your mouth? This patient said yes to all these questions. What a wonderful transformation!
Laser Dentistry

Before

After
Frenectomy
Notice how this Mid County child's lip was attached way down in between his two front teeth. With no bleeding, no pain, and 2 minutes we used a laser to remove this attachment. Notice how nice it healed and the two front teeth coming together!

Before

After
Gummy smile
Do you see more gums than teeth when you smile? In 10 minutes, with our advanced laser techniques, this Golden Triangle patient's smile was transformed! No pain, no bleeding, no scalpels, no stitches!
Professional Teeth Whitening

Before

After
Teeth Whitening
Using our advanced deep bleaching system, in less than 2 weeks this Nederland patient's coffee-stained smile was transformed into the beautiful pearly whites you can see here. Teeth whitening doesn't take a long time, and results are long-lasting!
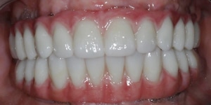
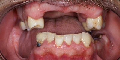
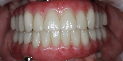
Full Mouth Rehabilitation

Before

After
Full Mouth Restoration
Are you struggling with missing teeth, bite issues, or difficulty eating? Feel like there's no hope? Our full mouth rehabilitation approach transformed this patient's smile, restoring their ability to enjoy life fully. Let us help you smile with confidence again!

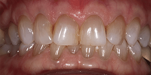
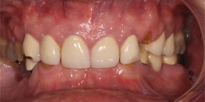
Before

After
Full Mouth Rehabilitation
Are you missing teeth? Do your teeth not fit together anymore? Can you only eat soft foods? Do you feel like there is no hope? We used a comprehensive approach for this patient called full mouth rehabilitation. Now she can enjoy her life again!


